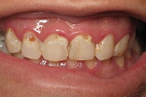
We know it can be hard committing to any kind of dental work when you’re unsure what your results will look like. What you envision may not be what you see when you look in the mirror after it’s all said and done. Fortunately, you don’t have to guess or worry anymore. Instead, you can see for yourself the kind of results Dr. Kendrick provides by taking a look through our smile gallery.
About Us Meet the Dentist Tour Our Office Community Involvement Advanced Dental Technology & Services View Our Services